遇到它,权游“龙妈”都险些丧命!脑动脉瘤究竟有多可怕?

不管你是不是《权利与游戏》的粉丝,对于这部美剧以及“龙妈”这个角色,应该都不陌生。

美剧《权利与游戏》宣传海报
今年年初,就在《权利与游戏》第八季开播之前,“龙妈”的扮演者艾米莉亚·克拉克为《纽约客》撰文,自曝这些年一直遭受脑动脉瘤的折磨,她曾接受两次手术,一度生命垂危。
据“龙妈”描述,那是2011年初,24岁的她刚拍完“权游”第一季,当天她正在伦敦一家健身房做平板支撑,突然头疼不已,浑身无力,“仿佛有一条橡皮筋在挤压我的脑袋”。她几乎是爬着回了休息室,“头疼欲裂,感觉脑袋要坏掉了。”

《权利与游戏》中“龙妈”剧照
隔壁一位女士发现了她的异常,叫来了救护车。
在医院做完MRI扫描后,医生确定了她头疼的原因——蛛网膜下腔出血,这是一种非常容易致死的疾病,突发出血是因为她的脑部长有两颗动脉瘤,其中一颗发生了破裂。
脑动脉瘤不是肿瘤,是脑子里的小动脉壁上凸起的像气球一样的小泡,这个泡看起来有点像团块,而肿瘤看起来也像团块一样,两者形态相似,所以称之为“脑动脉瘤”。

目前,国内脑动脉瘤发病率较高,大约占人口的2%-5%,其中约有20%会有多发性动脉瘤。此前好发年龄多为40-60岁,近年来越发年轻化,在20-40岁年轻群体中也经常出现。“龙妈”第一次发病就是在24岁。
医生建议,必须马上进行手术,不然再次出血危及生命的可能性非常高。
她选择了微创手术,手术恢复过程艰辛,期间因为脑部损伤,她出现了失语症。好在一个月后,她恢复正常顺利出院。
此次手术只切除了一个发生破裂的动脉瘤,另一侧留有的那颗较小的动脉瘤,依旧是颗“定时炸弹”,随时可能爆炸。
医生说这颗动脉瘤非常小,可能一直休眠、对人体无害,也可能持续长大或发生破裂,今后密切观察,定期进行MRI检查就行。
不幸的是,2013年做脑部MRI检查时,这颗小动脉瘤增长了一倍。
医生又一次给她进行了手术。
术后漫长的恢复期里,她说“我好像经历了比剧里(权游)更惨烈的战争。”
多数人的动脉瘤是没有破裂的,在没有破裂的时候,基本无症状,其中少数人会出现头痛,眼皮下垂等,这些症状往往是动脉瘤破裂前的预兆。
剧烈运动、咳嗽、用力排便、情绪激动等因素都可能导致脑动脉瘤破裂。与“龙妈”相似,破裂后一般会造成蛛网膜下腔出血,往往会出现剧烈头痛,伴随颈部僵硬疼痛和恶心呕吐等。重症者出现肢体偏瘫,甚至昏迷不醒。
脑动脉瘤一旦破裂,极有可能威胁生命,多数人非死即残,顷刻间病如山倒,甚至在几十分钟内死亡。
幸运的是,之后的时间里,她痊愈的情况超出预期。
在后期拍摄过程中,她也曾出现轻微口吃、短暂性失忆等症状,所幸都克服了。
因此,我们才够持续地在荧幕上看到她,看到权游第八季的大结局。
有脑外科专家说:“大多数时候,人们不知道自己有脑动脉瘤,直到它破裂。”发生动脉瘤破裂之后,约有1/3的患者会很快过世。
从这一点来看,龙妈是幸运的。她的恢复状况在动脉瘤的幸存者里也非常少见。
很多时候,一般人不会为了找动脉瘤去做检查,可能是有一些头晕头痛的症状,才会去做相应的检查。
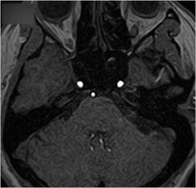
因此,在日常体检过程中,我们要尤其注意脑动脉瘤的筛查。上文中,医生给“龙妈”检查脑动脉瘤时,使用MRI无创无辐射检查,就可以清晰地看清脑部血管的病变。
① 磁共振下MRA脑血管成像

② 脑动脉瘤
动脉瘤第一次破裂的死亡率是30%左右,更可怕的是它还会第二次、第三次破裂,第二次破裂的病死率为70%~80%,如果发生第三次破裂,死亡率几乎是100%。
如果在没破裂之前就发现并且及时治疗,会大大降低死亡风险。
磁共振扫描是无创无辐射的绿色检查,可以用来做脑部血管成像,在动脉瘤破裂之前,尽早发现,尽早治疗。

朗润医疗万磁王plus
作为国产磁共振第一品牌,朗润医疗磁共振配有100秒MRA脑动脉瘤筛查技术,无需造影剂即可准确识别血管,清晰筛查血管3mm动脉瘤,让脑动脉瘤无处遁形。
快速成像一直是磁共振技术创新的重点之一,从最早期扫描一个序列要花费一个多小时,到如今最新的压缩感知技术(Compressed Sensing )已然可以实现10倍以上加速的超快速成像。

CS技术使用前后图像对比,扫描时间更短,图像更清晰。
朗润医疗磁共振采用最新的压缩感知成像技术,在保证图像质量的前提下大幅度提升扫描速度。与此前常规的采集技术相比,压缩感知能额外提升5-19倍的扫描速度,而图像质量相似或更好。
在脑部血管检查方面,朗润医疗磁共振使用压缩感知成像,可以实现100秒快速成像,在最快时间内让患者确诊,最大限度地争取治疗的“黄金时间”。







