【有声影像园地】磁共振扫描在关节运动损伤诊断中的应用
2018-04-16 17:04:58
8
4-2018
有声影像园地
朗润医疗全新知识分享平台
有声影像园地,全新开园
轻轻点击音频即可收听影像病例专业分析
共同探讨磁共振医学影像
第一期
磁共振扫描在关节运动损伤诊断中的应用
第一期主要围绕磁共振在关节运动损伤中的应用进行病例分析
1,膝关节运动损伤影像病例
2,踝关节的运动损伤影像病例
3,肩关节的运动损伤影像病例
主讲人

北京大学第三医院
运动医学科主治医师
运动医学研究所,助理研究员
长期从事运动医学研究和骨科常见病诊断和治疗。
关节扭伤常常导致膝关节相关韧带结构的损伤,如何及时发现这些损伤并进行相关的治疗,是我们临床医师常常面临的问题,除了相关病史、临床体征之外,磁共振扫描也是重要的诊断依据
膝关节的解剖结构


膝关节内侧副韧带

膝关节后外侧结构

内侧支持带撕裂

正常的膝关节
韧带结构:形态,张力,质地,连续性
半月板:完整性,形态,质地



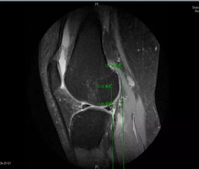
Blumensaat 角(-1.6度)
大于9-15度视为异常
前交叉韧带与胫骨平台角度(56度)
小于45-50度视为异常

后交叉韧带折弯度
弧度:0.19厘米,角度:114-123度

segond骨折

外髁骨擦伤(Kissing -sign)

陈旧性前交叉韧带断裂


微信扫一扫
关注该公众号








