【有声病例】前交叉韧带断裂

2018-04-16 16:46:39
1551056896956794.jpg

影像病例【2】


1551056931460062.jpg
1551056946262420.jpg
1551056960619453.jpg
1551057002123723.jpg
1551057015216581.jpg


前交叉韧带断裂

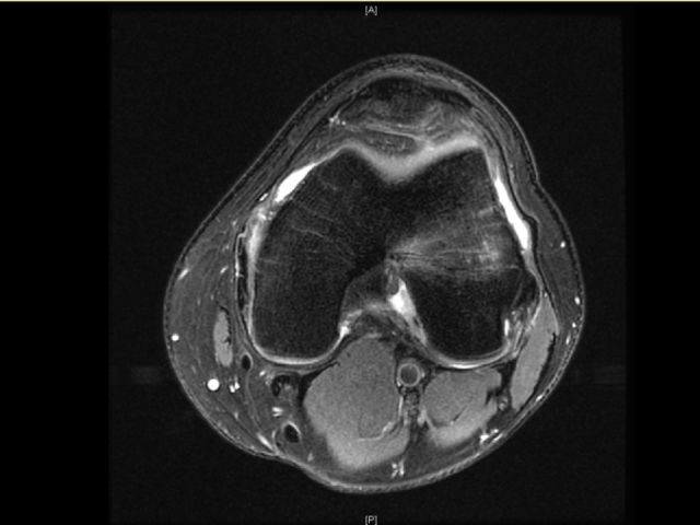
从这个病例我们可以看到明显的股骨外髁骨擦伤,韧带的形态是中断的,大片的渗出病变,并且以胫骨平台的夹角变小,下止点可见部分信号增高,上止点可见大片的渗出病变,缺乏韧带止点应有的形态和张力,轴位片也可以看到内外上止点信号改变。所以这个病例考虑前交叉韧带断裂。

1551057027872404.jpg


微信扫一扫
关注该公众号


苏州朗润医疗系统有限公司是创新高端医疗器械制造商和服务提供商。全面开展医学影像产品研发制造工作,产品线覆盖影像诊断系列产品、影像引导介入系列产品、生物安全系列产品及动物医疗系列产品四大领域。

Copyright © 2018-2022 苏州朗润医疗系统有限公司 版权所有    苏ICP备16058557号-4    技术支持:苏州网站建设