【有声病例】后交叉韧带断裂
2018-04-16 16:44:38
影像病例【4】



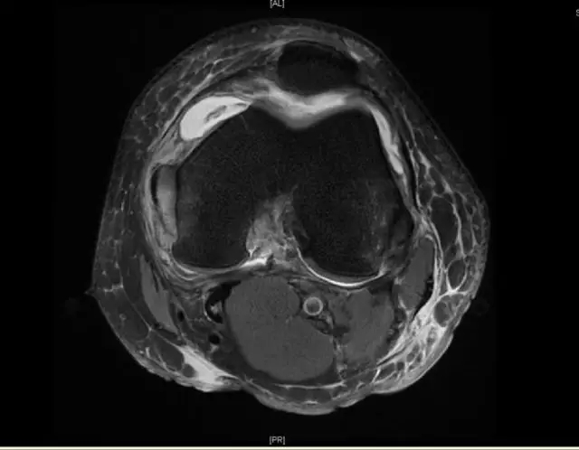
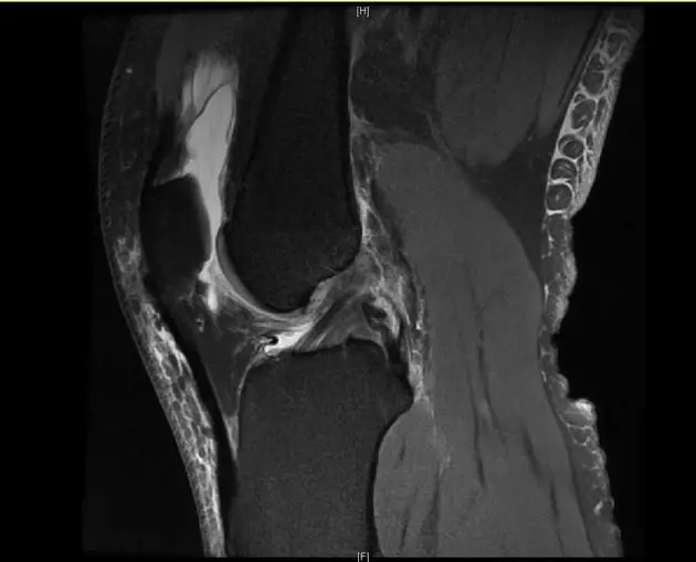
后交叉韧带断裂
这个病例韧带连续性中断松弛,尤其上止点的信号增高;从这个层面来看它的上止点形态不完整,部分信号增高;从这个层面可以看到,韧带的形态信号增粗,松弛,信号也是增高的,所以这个病例可以诊断为后交叉韧带断裂。

微信扫一扫
关注该公众号
影像病例【4】



后交叉韧带断裂
这个病例韧带连续性中断松弛,尤其上止点的信号增高;从这个层面来看它的上止点形态不完整,部分信号增高;从这个层面可以看到,韧带的形态信号增粗,松弛,信号也是增高的,所以这个病例可以诊断为后交叉韧带断裂。

微信扫一扫
关注该公众号
Copyright © 2018-2022 苏州朗润医疗系统有限公司 版权所有 苏ICP备16058557号-4 技术支持:苏州网站建设