【朗润影像档案】磁共振影像病例分享(编号20180126)

2018-04-16 13:57:46

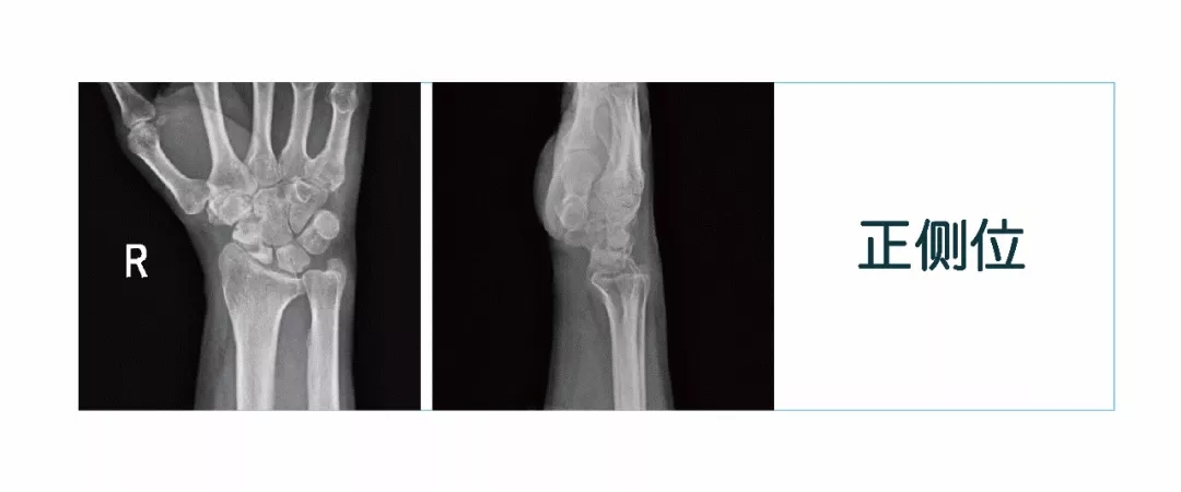
1550644751846791.jpg

1550644793680478.jpg


1550644819541515.jpg



1550644843209989.jpg




.1550644870139782.jpg

微信扫一扫
关注该公众号

1550644896940642.jpg

1550644909721922.jpg

1550644971772470.jpg

1550645050752667.jpg

苏州朗润医疗系统有限公司是创新高端医疗器械制造商和服务提供商。全面开展医学影像产品研发制造工作,产品线覆盖影像诊断系列产品、影像引导介入系列产品、生物安全系列产品及动物医疗系列产品四大领域。

Copyright © 2018-2022 苏州朗润医疗系统有限公司 版权所有    苏ICP备16058557号-4    技术支持:苏州网站建设