【有声影像园地】常见的脊柱外科疾病(二)
2018-06-08 11:09:49
7
6-2018
有声影像园地
朗润医疗全新知识分享平台
有声影像园地,全新开园
轻轻点击音频即可收听影像病例专业分析
共同探讨磁共振医学影像

第三期
常见的脊柱外科疾病
脊髓型颈椎病有的是由于椎间盘的突出,椎体后缘的骨刺以及后纵韧带的骨化增厚等原因造成的,主要表现有,如果是椎体后骨刺导致的,在屈颈肢体有触电感。另外就是椎体处的受压表现为肢体的无力,沉重,足尖不能离地,难以跨越障碍物,容易跌倒,持物容易坠落。还有肌张力的增高,精细动作不协调,出现手足笨拙,束胸感和双腿发紧。感觉障碍包括肢体的麻木等等。也会出现植物神经方面的症状,比如说胃肠方面的症状,心血管方面的症状以及泌尿系统的症状等等。在反射方面,浅反射是减退的,深反射发生改变,同时出现病理反射。根据椎体受压的特点,又分为中央型和周围型和强中央血管型,如果是钩动脉受压,引起的症状是先从上肢开始波及到下肢,这属于中央型。如果是锥体束直接受压,那么症状是从下肢开始,再波及到上肢,所以这属于周围型。如果是四肢同时受压,那就属于强中央血管型,又叫四肢型。

现在我们看到的是这是由于椎间盘突出引起的脊髓型颈椎病,我们可以看到椎间盘突出压迫了脊髓,脑脊液在这里不能通过,看到脊髓明显受压,脊髓没有明显的变性,神经根没有受压,这个类型的治疗原则是,可以保守治疗,但不宜做颈部牵引以及粗暴的手法操作。手术治疗方面,如果是前方致压物导致的以锥体束征为主,主要做的是前路手术,摘除椎间盘,骨刺,椎间融合,如果是以感觉障碍为主,伴有椎管狭窄的,可以做后路手术,包括椎管成形,椎管切除,如果是两者都有明显的症状,根据先后的顺序选择治疗方案,比如先有椎体束征的先做前路手术,观察三个月再选择做后路手术。
 
这是一个由于椎体后缘的骨刺导致的脊髓型颈椎病,我们可以看到脊髓受压,脊髓有水肿变性,T1加强可以看到明显的骨刺,对于脊髓型的颈椎病,预后如果属于椎间盘突出和脱出,软性致压物,手术以后效果比较好。如果是椎管有狭窄,骨刺,后纵韧带的骨化压迫,这种发展比较慢,治疗预后也比较差,如果有明显脊髓变性的,预后则更差。

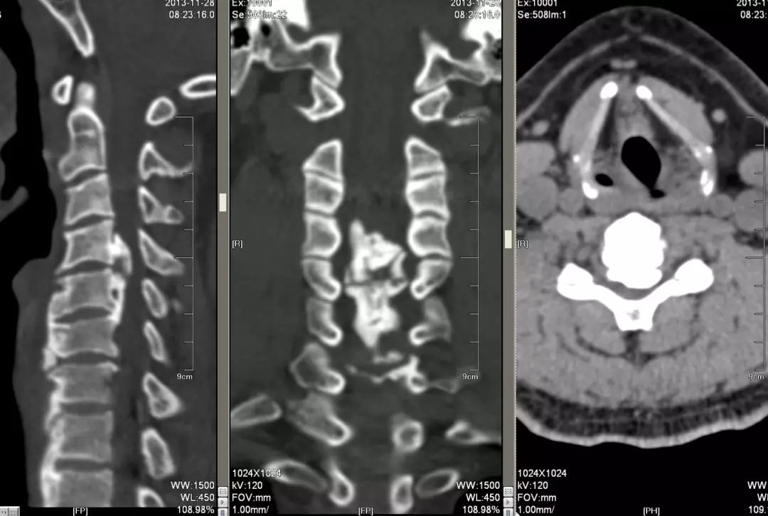
这是由于后纵韧带骨化,也造成了脊髓的受压,和脊髓型颈椎病有很多相似之处,但后纵韧带的骨化在ct相看的更加清楚,后纵韧带的骨化影像分型包括孤立型,间断型,连续型,混合型。它们对脊髓造成的损害,主要是通过挤压,折顶和挫磨引起的。在治疗方面,如果是四个椎节以内的孤立型,间断型可以选择前路手术进行致压物的切除和椎间融合。如果是四个椎节以上的连续型,混合型则选择后路椎管切除,椎管成形术。

这是同一个病的ct,我们可以看到很明显的后纵韧带的骨化,

微信扫一扫
关注该公众号








