【有声病例】正常的肩关节影像图片
2018-05-07 09:44:26
正常的肩关节结构





正常的肩关节结构
这是一个肩关节造影的磁共振片子,包括肩胛下肌,冈下肌,冈上肌
这张片子是肩胛下肌,上盂唇,冈上肌,冈下肌
到这个层面,可以看到肩胛下肌建,冈上肌腱,冈下肌建
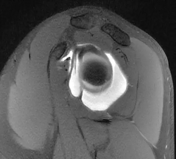
从这个层面可以看到前盂唇,后盂唇,质地均一的T2相低信号,它的前关节囊和后关节囊比较光滑,这是一个比较正常的前后盂唇的形态。
这张片子可以看到上盂唇及肱二头几件长头止点,盂唇高信号的特点,质地比较均一,相对比较尖锐,边界比较清楚
此片可以看到冈上肌腱。

微信扫一扫
关注该公众号
下一篇








