【有声病例】正常的踝关节影像图片
2018-04-25 08:51:01
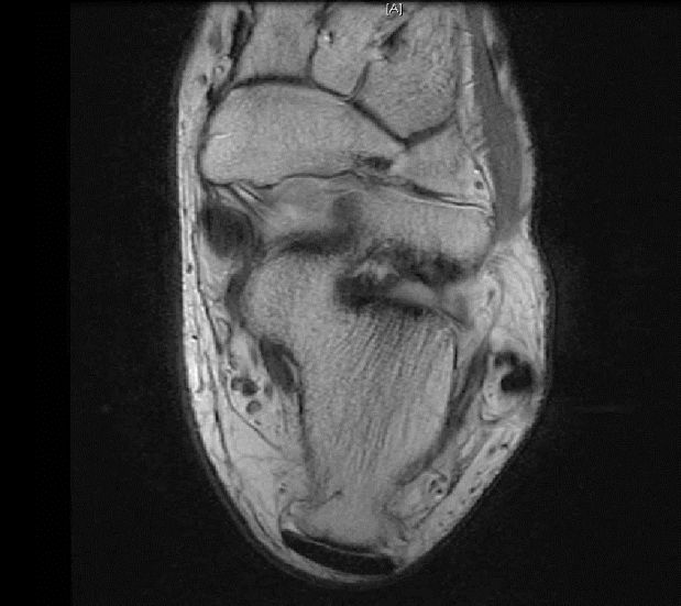
踝关节影像


踝关节影像
从这张片子我们可以看到正常的韧带结构,包括距腓前韧带,跟绯韧带,它是质地比较均一,T2相高信号,连续性良好,并且有良好的张力,从冠状位也可以看到跟绯韧带,在腓骨肌腱的深方,也是T2相跟T1相的低信号,有良好的连续性,张力也不错。

微信扫一扫
关注该公众号
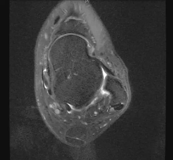
踝关节影像


踝关节影像
从这张片子我们可以看到正常的韧带结构,包括距腓前韧带,跟绯韧带,它是质地比较均一,T2相高信号,连续性良好,并且有良好的张力,从冠状位也可以看到跟绯韧带,在腓骨肌腱的深方,也是T2相跟T1相的低信号,有良好的连续性,张力也不错。

微信扫一扫
关注该公众号
Copyright © 2018-2022 苏州朗润医疗系统有限公司 版权所有 苏ICP备16058557号-4 技术支持:苏州网站建设